Coksartroser - Dëst ass Arthrosis vun der Hüftgelenk.
Et huet grad méi nobedeckt, da kënnt e puer Joer, zousätzleche Passioun, kënne béid engem Zougehe sinn, kënne béid eng Forts an DuebelDaa gedéieren. Et gëtt begleet vu Péng a Restriktioun vu Bewegungen am Joint. Moien ass Zwëschen den Enkmitkmoussen a kuerz vun der Glouss observéiert. D'Diagnos gëtt op Basis vu klineschen Symptomer an radiography Resultater etabléiert. An de fréie Stänn vun de Coxhartos, konservativ Behandlung. Mat der Zerstrater ass haaptsächlech zum Frënd, besonnesch virun 15emools gutt wéi och main Alterskëscht (Enoprorouschterer) en ugezeechent) ass ugewisen.
Allgemeng Informatioun
Coksartrosis (Osteoarthrosis oder Deforosing Arthrosis vum Hip Gelenk) ass eng degentrativ-dystrophesch Krankheet. Et entwéckelt normalerweis am Alter vu 40 Joer a méi al. Et kann e Resultat vu verschiddene Verletzungen a gemeinsame Krankheeten sinn. Heiansdo geschitt et fir keen anscheinend Grond. Coksartrosis ass geprägt vun engem graduellen progressive Cours. An de fréiere Stëmme, konservativ Methoden gi benotzt. A spéider Ofdänn kommen d'Genonnung kënnen nëmme ränner op déi rationaler ginn.
An orthopädiker an Traumatologie, COXHartros ass ee vun de heefegsten Arthrosis. Déi héich Frequenz vu senger Entwécklung ass wéinst enger bedeitender Belaaschtung op der Hüftgelenk an déi verbreet Prevalzenz vu conegenital Pathologie - Jointplasien. Fraen leiden ënner Coksartrosrose e bësse méi dacks wéi Männer.
D'Ursaachen vun der Cokeren
Den Primär (erzunn op onbekannte Grënn) an sekundär (entwéckelt als Resultat vun anere Krankheeten) Arthrosis vun der Hüftgelenk.
De Secondaire Coksartros ass d'Resultat vun de folgende Véierelegkeete sinn:
- Hip gemeinsam DyPlasien.
- Gebuer Dislokatioun vum Oberschenkel.
- Pertes Krankheeten.
- Aseptesch Nekrose vum Oberschenkel.
- Infectious Läsionen an entzündlech Prozesser (zum Beispill, Arthritis vum Hüchgelenk).
- Verletzungen (traumatesch Disloktiounen, Frakturen vum Hip Hals, Pelic Frakturen).
Coksartrosis kënne entweder ee vun engem Mat Primär Coxhartrosis, eng konconitesch Läsion vun der Wirbelsäit (Osteochandsos) a Knéi Gelenk (Gonartros) gëtt dacks observéiert.
Risikofaktoren
Ënnert de Faktoren déi d'Wahrscheinlechkeet vun der Entwécklung vun der Coxterhartos erhéijen enthalen:
- Konstant erhéicht Last op der Gelenk. Meeschtens oft an Athleten a Leit mat engem iwwerschëssegem Kierpergewiicht observéiert.
- Circulay Stéierungen, hormonal Ännerungen, metabolesche Stéierungen.
- Pathologie vun der Wirbelsäule (Kyphosen, Scoleiose) oder Stop (flaach Féiss).
- Eeler a senile Alter.
- E setentäre Liewensstil.
COKSSTERROROSS selwer ass net ierflech. Wéi och ëmmer, bestëmmte Feature (motabolesch Stéierungen, Skelelstruktureegungsfeatures an d'Schwäche vum Knorpel) kënnt vum Kand vun Elteren ierft. Dofir, an der Präsenz vu Bluttgamenter déi aus Coxhartros leiden, d'Wahrscheinlechkeet vun der Optriede vun der Krankheet ass liicht eropgaang.
Patanatoomie
Den Hip Joint gëtt vun zwee Schanken geformt: ileum a femoral. De Kapp vum Uewerschenkel ass artikuléiert mat dem Acetabulum vum iliac Schanken, bilden eng komesch "hinger". Wärend Arbedter, d'Aptablulum bleift empfängelen, an de Fouergott a verschiddene Bezuelen, d'Foutiounsnitterung, Excitéit Hëfter.
Wärend Bewegunge, déi artikulär Fläche vun de Schanken ongeschlossene Rutsch relativ zueneen, Merci un de glatten, elastesche a halable Hylizitéit vun der Schubelitéit. Provider de Halaline Quiefs ass eng Schockmorsing Funktioun an ass e Verträger vun der Laascht während Trend involvéiert.
An der gemeinsamer Kavitéit gëtt et eng kleng Quantitéit vun der gemeinsamer Quantitéit Flëssegkeet, déi d'Roll vun der Schmierung spillt an liwwert Ernärung vum Hyaline Knorpel. De Gelenk ass vun enger dichten a staark Kapsel ëmgi. Iwwer Uppelswe si grouss flexorativ a profutfrëndlech Mëllech, déi Gewësslänner suergen, mat bei Hyalincomportsweis, mat hirem Verlenten avant a Verlounen;
Mat COXHHHHHHHIKROSE, d'gemeinsamt Flëssegkeet gëtt méi déck a méi Viskos. D'Uewerfläch vum Hyaline Knorpeladage Dréche, verléiert Gruefheet, mat Rëss bedeckt. Duerch d'Reieen dovunner ënnerdeelt déi d'Spillstäppungen während de Gewënner gedauert huet. Als Cox Hillhroskisstresse sinn d'Schanken un d'Emprise ze deforméieren, "oprecht ze ginn. De Metabolismus an der Gelenk verschlechtert. Déi spéider Kannerschreift vu Coxartros, schwéier Atrophoen vun der Muskater vun de Mängele vun den verlängeren Immi ze observéiert.
Symptomer vun Coxhartrosis
D'Haapt-Symptomer vun der Krankheet enthalen Schmerz an der Gelenk, inguinal Regioun, Oberschenkel an Kniegelen. Dofir ginn och Matière Komfort vu Reduktioun vu Quissen, Glaipstanz, Lighmus vun der Léiwskammen a Hierenmuskele vun den Léiw vu vun den Lonk. Eng charnistesch Feature vu Kolastartrocher ass eng Restriktioun vun der Ëmféierung (zum Beispill ass de Patient, wann een net op ee Stam sech ze sëtzt). D'Präsenz vu bestëmmte Schëlden an hir Gravitéit hänkt vun der Bühn vun der COOXHARDROHIS. Déi éischt an déi meescht konstant Symptom ass Péng.
Hannert der Coksartrosis vum 1. Grad Patienten beschwéieren vun periodesche Schmerz, déi no kierperlecher Aktivitéit geschitt (Lafen oder verlängert Spazéiergang). De Schmerz gëtt an de Gelenk lokaliséiert, manner dacks am Oberschenkel oder Knéi. Nom Rescht, et verschwënnt normalerweis. D'Gait fir KOX DEQarlinis vum 1. Grad ass net gebrach, si keng Rotschléi e bësse méi Muskelat.
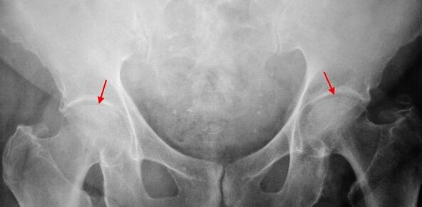
Op der X-Leiden vum Patient vun der COXHHHTRESE vum 1. Grad, mëller Ännerungen sinn bestëmmt: moderéiert ongläiche Verengung vum Joint Spalt, souwéi Knöchkugel vum Acetabulumen ronderëm den ACTETBULS VUN DER MECHT A RIGHERS
Hannert der Coksartrosen 2 Grad De Péng gëtt méi intensiv, dacks erschéngen am Rescht, strahlt an den Oberschenkel an der Lein. No bedeitende kierperlech Aktivitéit, de Patient mat Coksartrosis fänkt un ze limfen. De Volume vu Beweegunge am Joints erofzesetzen: d'Ausféierung an intern Rotatioun vum Oberschenkel ass limitéiert.
A x -ray Biller fir Coxarkosis vum 2. Grad, bedeitende ongläiche Verengung vum gemeinsame Spalt (méi wéi d'Halschent vun der normaler Héicht) gëtt bestëmmt) bestëmmt. De femorale Kapp gëtt e bësse wéi no uewen an der Gréisst erhalen an d'Metalls wäert onbedéngt ginn. Bonue Wuesstumen mat dësem Grad vu Coxhartrosis erschéngen net nëmmen op der Regioun, awer och um baussenzege Rand vum Acetabulum a gitt de Knorpel.
Hannert der Coksartrose 3 Grad De Pit gëtt konstant, Suergen vu Patienten net nëmmen am Dag, awer och an der Nuecht. Zu Fouss ass schwéier, wann se plënneren, e Patient mat Coksartros ass gezwongen fir en Cane ze benotzen. De Vande vu Plattunge am Gelenk ass schaarf limitéiert, d'Muskele vun der Hochung, Hënz ginn a manner Been. D'Wuelbarkeet vun der lafster Muskelen vun den Oberschenkel vun der Ofwäichung vum Becken vum Becken am Frontfläch a verkierzt d'Gliedung op der Gliedmaart. Fir ze kompenséieren fir ze verkierzen, e Patient leiden ënner Coksartros, wann et trëppelt, kann de Kierper an d'Leedung. Dofir verréngert d'Blummenverbréck, d'Laaschtmëttelen eng schwéier.
Bannen fir Béiragographs fir Coxarkroder vum 3. Grad, eng schaarf Verléissung vun der Gepompe, eng ausgeglach Expäter vum Oberschenknothéiken.
Diagnos
D'Diagramarros baséiert op klinesch Schëlter an Daten vun zousätzlech Studien, d'Ziler vun der Meenung. A ville Fäll gëtt et méiglech net nëmmen de Miniteur vu matohzen am Gradsoproche maachen, awer och d'Ursaach vu sengem Optrëtt. EENAFT Krankheet oder jugendlech Epiphyse, d'Szenen a Flottung vun der Acetabulum weisen DYTPullt eng Konsequenz uginn DYTPLALIA, an d'Form vum ProXival Deel vun der Erléiser Krankheet oder juristesch Epiphyse. Zu Patienten mat Patient mat Co-Chamartosis, d'Ännerunge kënnen och gesetzlech entstéiert ginn.
Wéi aner Methode vun instrumental Diagnos of Coxhartosis, CT a MRI kann benotzt ginn. Computsgefored Tomografie erlaabt der pathologescher Ännerunge am Detail vu Sond Strukturen am Detail ze garantéieren, a Magnéitesche Resonanz agefouert ze bewäerten.

Differentiell Diagnos
Éischtens, Coxhartrosis sollten aus GonDarrosis (Osteoartroderis vum Knéi Gelenk) an Osteoochonds vun der Wirbelsäit vun der Wirbelsäite sinn. Atropophie vu Muskelen, déi op 2 an 3 Etappen vun der Coxterhorosis geschitt, kann Péng am Knéi Gelenk verursaachen, déi dacks méi hell ginn wéi Péng am Schmerz. Dofir ass de Restriktioun vum Patient vum Patient seng Entspung vun de Sträich, e frlinesch (Inspektioun, Priprojeten vum Lipeatographis Geschwënn ginn a fir Radiefraes gewidmet.
Péng fir radikulär Syndrom (Kompressioun vun Nerve Wuerzelen) fir Osteochendrosos an e puer aner Krankheeten vun der Wirbelsäite imitéieren Net anescht wéi cokskartros, wa se vun de Wuerzelë këmmeren, nodeems de Schmerz opgeraucht, no op enger net kommunizem., En Schaardtuecht an huet de Réckelstand e schaarf., Eschmolt op den Häckeger. E positiven Symptom vun der Spannung gëtt festgestallt - schwéier Péng wann de Patient probéiert e räuschende Glied ze erhéijen, op sengem Réck leien. Zur selwechter Räsée ass vum Patient fräi befreidef op der Säit, wärend an Patienten mat de Coskartroder, d'Abteduéiererts, ass d'Benotzerdpstartisk, d'Abaktioun limitéiert ass. Et ka gedéngt datt Ostunoardlandsbis a mam Upsktertroon vun dësem Schluss kommen, an all grëndlech Ënnersichung vum Patient ows ginn eng groufung Ëen um Patient gesi ginn.
Zousätzlech, Causererroders ass differenzéiert mat Trochernitter (Bootkurs) - adeptesch Entzündung an der Regioun vun de Befreiung vun de Bléck. Am Géigesaz zu COXHHHHANDROSE, d'Krankheet entwéckelt sech séier, bannent 1-2 Wochen, normalerweis ni no enger Verletzung. D'Intensitéit vu Péng ass méi héich wéi mat Coksartrosis. Akrancen vu Bewektunge wou Kuerzzäit vum Glibbelie observéiert gëtt.
An e puer Fäll, mat engem atypesche Kurs vun der Krankheet oder reaktiver Arthritis, Symptomer, déi e Cexartros gëtt. An awer als Matxhartros, mat dësen Krankheeten, déi d'Kneecht am Jake och fält. De Schmerz Syndrom ass ganz intensiv, kann erofgoen wann et geet. De Moien Steifheit ass charakteristesch, wat direkt geschitt nodeems se an e puer Stonnen verschwannen.
Behandlung vu Coxhartrosis
Behandlung vun der Pathologie ass an Traumatologen orthoopedists engagéiert. D'Wiel vun der Behandlungsmethoden hänkt vun de Symptomer an der Stuf vun der Krankheet of. Um 1 an 2 Stongen vu Coxhartros, konservativ Therapie gëtt duerchgefouert. An der Period vun der Erlaabnis vu COxterhrose, Injektiounsblocks, net -Steroidal Anti -Neflambarmatory Drogen (Pymomexen, insomuraxen. Et ass gesi Birai vun dëser Grupp, zënter, nach net laang Empfehlung, well se en negativ Organer hunn, d'Gefill vum Hyalin Knorpse fir ze raruréieren.
Fir de beschiedegt Knorpel fir Cokerartroser ze restauréieren, Fongen aus enger Grupp Chandropotektors (Chondroitin silfate, Knorpel, asw.) Ginn et benotzt.) Fir Bluttzirkulatioun ze verbesseren an ze eliminéieren Spasm vu klenge Schëffer, iwwerdränken Drogen (zinnarisin, Nikotin, dem Mëttelschlag, Xanxifinin, Xanoxifinin, Xanoxifillin, Xanoxifin, Xanoxifin, Xanoxifin, Xanoxifin, Xanoxifin, Xanoxifin, Xanoxifin, Xantoxifin, Xanoxifin, Xantoxifin, Xantoxifin, Xantoxifin, Xantoxifin, Xantoxifin, Xantoxifin) si virgeschriwwen. Geméiss den Indikatiounen, Muskelfunktiounen gi benotzt (Muskel-Entspanung Drogen).
Mam Trauborny Schmerz Syndrom, Patienten leiden ënner COKSARTSRESS KËNNEREN INJRECTIVER INJECTIVERS UNJECTIONS MATHALT (HYDROCORORONEONE, TRIPORTONEER, CRUMPLOONONE). CRUMPLOONONONE Behandlung mat Steroiden musse mat Vorsicht duerchgefouert ginn. Et ass nach zousätzlech ze Cexterarheadis, de lokalen Produite ginn benotzt - d'Verstandunge kënnen engquell ugebueden. Mateneen, kréie, manuelle Thraperie mat Kuerzeszäitmutten, Uschler huet, Laser Behandlung, LasIER Behalungsbegrëff, Leuntméiglechkeet?
D'Diät fir COKSARTSROSIS huet keen onofhängege themuteschen Effekt an gëtt nëmmen als Mëttel benotzt fir Gewiicht ze reduzéieren. Kierpergewiicht ze reduzéieren Iech erlaabt Iech d'Laascht op den Hip. Fir d'Läschen vum Geess, den Dokter hieschteren ënner dem Fall vun der Accoudhinronis, kann eventuell empfeelen, mat engem Staang oder Canéeën ze kommen.
Déi spéider Bezuelung (mat Koxartros vum 3. Grad), steet dës usti Spezialproduktioun vun der Behandlung, déi doraus duergestallt huet der deSouposierer mat engem eegeneestrooss, wou s deëff der Operatioun ersat gouf. Ofhängeg vun der Natur vun der Läsion, entweder eenzel -pole (ersetzt nëmmen de Kapp vum Oberschenkel) oder zwee -poléieren (béid de Kapp vum Oberschenkel an der Swiverelhavitéit ze ersetzen.
D'Operatioun vun der Operatioun vun der Operatioune gëtt op eng geplangte Manéier duerchgefouert, no enger kompletter Examen duerchgefouert, ënner Generalannvestesie. An der postoperativer Period, antibiotesch Therapie gëtt duerchgefouert. D'Nähungen ginn op 10-12 Deeg geläscht, nodeems de Patient fir baussenzeg Behandlung verschriwwen ass. Nodeems et endlech Ofraschtung huet, Rëndbissung, déi onbedéngt agehale gëtt.
Zwou vun Fäll, kreatinesch Privatventioun fir de Wow säi Coxartik ze ersetzen déi komplett Resolutioun vun de Growirtschaft probéiert. Patienten kënnen schaffen, aktiv beweegen an och Sport spillen. Den Duerchschnëttservice vum Prothese, ënnerleien all Empfehlungen, ass 15-20 Joer. D'Éischt ass eng zweet Operatioun ausgefall een Auswierkung vun enger gewonnter EndoprosseSe ze ersetzen.
























